
Kanal tedavisi (endodonti), çok hasar görmüş veya enfekte olmuş bir dişi çekmek yerine, dişi kurtarmak için yapılan bir tedavidir. Dişin en iç dokusu olan pulpa yani sinir ve damar doku dişten sökülür, dişin içi temizlenip, dezenfekte edilir ve oluşan boşluğu kapatmak için dişe dolgu yapılır. Her dişe kanal tedavisi uygulanabilmektedir. D
Kanal tedavisi (endodonti), çok hasar görmüş veya enfekte olmuş bir dişi çekmek yerine, dişi kurtarmak için yapılan bir tedavidir. Dişin en iç dokusu olan pulpa yani sinir ve damar doku dişten sökülür, dişin içi temizlenip, dezenfekte edilir ve oluşan boşluğu kapatmak için dişe dolgu yapılır. Her dişe kanal tedavisi uygulanabilmektedir. Dişin enfeksiyon kaptığı durumlarda ve etkilenen kanal sayısına göre tedavinin süresi uzayabilmektedir.

Vital pulpa tedavisi pulpanın canlı olarak korunması adına yapılan uygulamalardır. Bir dişin ağızda uzun seneler boyunca varlığını devam ettirebilmesi adına pulpa dokusunun korunması oldukça önemlidir. Vital pulpa tedavilerinde ki amaç; dentin pulpa kompleksinde ki mevcut olan bakterilerin elimine edilmesini sağlayarak pulpanın sağlıklı durumunun devam ettirilmesini sağlamaktır

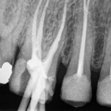
Kanal tedavisi tekrarı (Retreatment), en sadece basit tanımı ile kök kanalı içerisinde gerçekleştirilen eski tedavi ve dolgunun temizlenerek, yeniden kanal anatomisine uyumlu bir şekilde kanal tedavisinin gerçekleştirilmesidir.
Web sitesi trafiğini analiz etmek ve web sitesi deneyiminizi optimize etmek amacıyla çerezler kullanıyoruz. Çerez kullanımımızı kabul ettiğinizde, verileriniz tüm diğer kullanıcı verileriyle birlikte derlenir.